24時間受付ネットから予約
いつでも簡単ご予約
24時間受付 ネット予約
当日予約も受け付けます
下記の診療期間内でお受けできます
〇…9:00~14:00 / 休診日…木曜・日曜・祝日
閉じる
一般歯科
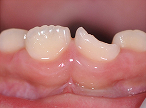
処置前
処置後
治療内容
審美的に問題のある治療に悩まれていた女性の患者様です。 レジン(保険治療)を直接歯に接着させることで、審美性を得ることができました。
事故により前歯が折れてしまった御子様です。 神経を損傷するほどの傷でしたが、適切な処置を行うことで神経を残しながら 歯を審美的に修復することができました。
院内紹介
当院の総合医療について
医師・スタッフ募集