インビザライン矯正専門サイト マウスピース矯正

すべての症例

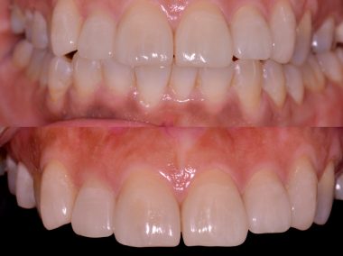
審美歯科

ラミネートベニア

  • 処置前

  • 処置後

費用
治療期間

治療内容

前歯の審美障害に悩まれていた女性の方です。
古い詰め物を外し、薄いセラミックを表面に張り付けることで、
ほとんど歯を削ることなく高い審美性を確保することができました。

審美歯科

歯冠延長術とセラミック治療

  • 処置前

  • 処置後

費用
治療期間

治療内容

前歯の審美障害と歯茎が笑ったら見えるのに悩まれている患者様です。
歯肉の歯冠延長術とセラミック治療により、美しい口元を取り戻すことができました。

審美歯科

ジルコニア セラミック クラウン

  • 処置前

  • 処置後

費用
治療期間

治療内容

不幸にも歯が折れてしまい、重度の審美障害を訴えて来院されました。
審美はただ白いだけではなく、周りの自分の歯にいかに自然に溶け込むかであると考えています。オジルコニアセラミッククラウンで素敵な笑顔を取り戻されました。

審美歯科

ガムピーリング

  • 処置前

  • 処置後

費用
治療期間

治療内容

歯肉の黒ずみをガムピーリングで改善しました。
1回5分程度で、3回程で美しい歯茎を取り戻すことができます。

歯周病

歯肉移植

  • 処置前

  • 処置後

費用
治療期間

治療内容

歯を守る歯茎が少なく、柔らかい弱い歯茎しかありませんでした。
このままでは歯茎が下がり続け、水にしみたり、虫歯や歯周病のリスクを増悪させ、
最終的に抜けてしまう可能性がありました。
他の部分から丈夫な歯茎を移植することで丈夫な歯肉を獲得することができました。
歯茎をわずかですが戻すことができました。