インビザライン矯正専門サイト マウスピース矯正

すべての症例

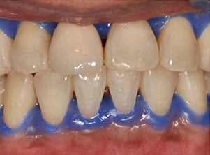
歯周病

エムドゲイン歯周組織再生治療

  • 処置前

  • 処置後

費用
治療期間
歯周治療・再生療法

治療内容

分かりにくいのですが、左のレントゲンでは歯周病によって歯を支える骨が歯根の先まで失われています。
通常であれば抜歯をしなければいけないのですが、エムドゲインといわれる再生材料を使うことで骨の再生が起こり、現在は通常の歯と同じ様に機能しています。

審美歯科

ガムピーリング

  • 処置前

  • 処置後

費用
治療期間
ガムピーリング

治療内容

歯肉ピーリングと呼ばれる治療法です。
歯肉の奥深くに沈着した色は、通常の新陳代謝で戻ることはありません。
1回5分ほどの治療を3回行うことで、ほとんどの色素沈着を改善することができます。

ホワイトニング

ホワイトニング

  • 処置前

  • 処置後

費用
治療期間
ホワイトニング

治療内容

本人の希望により、通常より少し強いホワイトニングを行いました。
私たちから見ると少し白過ぎる気もするのですが、患者様は非常に満足されました。

ホワイトニング

ホワイトニング

  • 処置前

  • 処置後

費用
治療期間
ホワイトニング

治療内容

右上に不自然に白い歯が入った患者様です。
セラミックスをやり換えるのも1つの手段なのですが、
逆に周りの歯を白くすることで審美不良を克服しました。

審美歯科

e-max セラミックインレー

  • 処置前

  • 処置後

費用
治療期間
e-max セラミックインレー

治療内容

歯の大部分が虫歯になってしまった歯です。
通常なら金属での治療になるのですが、e-max セラミックインレーによって高い審美性と
強度を両立することができます。
また、治療した部分からの新しい虫歯になりにくい治療法です。