インビザライン矯正専門サイト マウスピース矯正

すべての症例

一般歯科

レジン充填(保険治療)

  • 処置前

  • 処置後

費用
治療期間
レジン充填

治療内容

事故により前歯が折れてしまった御子様です。
神経を損傷するほどの傷でしたが、適切な処置を行うことで神経を残しながら
歯を審美的に修復することができました。

一般歯科

レジン充填(保険治療)

  • 処置前

  • 処置後

費用
治療期間
グラディアダイレクト

治療内容

審美的に問題のある治療に悩まれていた女性の患者様です。
レジン(保険治療)を直接歯に接着させることで、審美性を得ることができました。

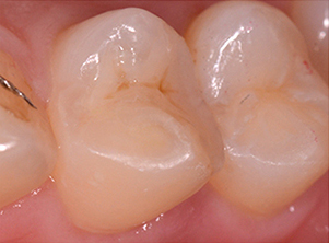
審美歯科

e-max セラミックインレー

  • 処置前

  • 処置後

費用
治療期間
審美治療

治療内容

虫歯で失ってしまった歯の一部を補う方法として、インレーといわれる治療があります。
一般的には金属を使用するのですが、セラミックのインレーを使用することで、高い審美性と強度を併せ持つことができます。